Laboratorio Rodental

Rafael Lopez Niñoles

Avda. País Valenciano 17. Bajo

03140 Guardamar del Segura. Alicante

Telf. 966 727 616

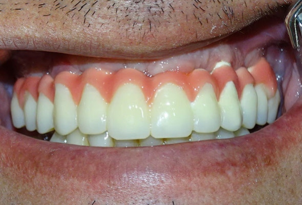
Tratamiento con prótesis fija sobre 6 implantes Nobel Biocare: 4 Multi-Unit y 2 Nobel Replace Conical Connection plataforma NP.

Escaneados con Scan Bodies con sistema Zirkonzahn. Interfases Zirkonzahn cementadas con Ivoclar Multilink Hybrid Abutment previo tratamiento de arenado y primer del PEEK color dentina.